Gebelikten testinden 7 yıl sonra korkunç gerçek ortaya çıktı!

GALERİ'NİN DEVAMI İÇİN TIKLAYIN...

Karın ağrısı ve şişkinliği vardı. Tam 7 gebelik testi yaptı. Sonuçlar negatifti ama şikayetleri günden güne arttı. Korkunç gerçeği böyle öğrendi!

Fakat Louise’in semptomları daha da ağırlaşmaya başladı. Sırt ağrısı, sık idrara çıkma, iştah kaybı… Louise’in içi rahat etmedi ve bir test daha yaptı. Sonuç yine negatifti.

Doktorlar da şaşkındı. Karnındaki şişkinliğin ve rahatsızlığın sebebini bulmak için bir dizi gebelik testi daha yaptılar. Hatta bir doktor, Louise’in karnının içinde bir şey olduğundan emindi! Sonunda Louise’ e tamı tamına yedi gebelik testi yapıldı. Sonunda hamile olmadığına ikna oldu ama rahatsızlığının ne olduğunu anlamak için araştırmaya devam etti.

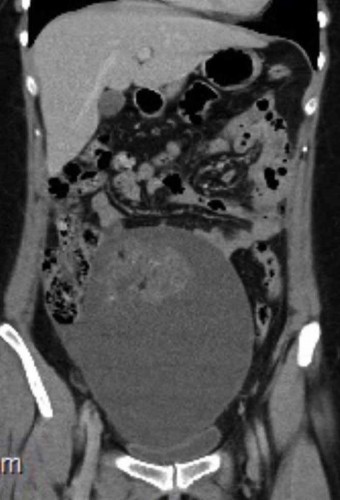
Doktorlara göre ultrason sonuçları iyi huylu bir kist olduğunu gösteriyordu. Fakat Louise’e yapılan biyopsi korkunç gerçeği ortaya çıkardı! Louise’in iki tane olgunlaşmamış teratomu vardı (Cenine özgü dokulardan oluşmuş bir tümör türü) Midesini kaplayan ve organlarına baskı yapan bu kötü huylu tümör böylece ortaya çıktı. Bu nadir kanser hücreleri genellikle 20’li yaşlardaki kadınlarda görülüyordu.

Doktorlar, Louise’in yumurtalıklarına ve fallop tüpüne de yerleşen tümörü temizlediler ve bu operasyon şans eseri doğurganlığına zarar vermedi.

Louise’in doktoru profesör Hani Gabra, şişkinlik ve midede yumru gibi belirtilerin illa gebelik belirtisi olmayabileceğini, bir tümörü de işaret edebileceğini ifade etti. Birkaç gebelik testinin sonucu da negatifse başka testler yapılıp durum araştırılmalı.

Kaynak: Elvan Yarma / Hürriyet

Editör Hakkında