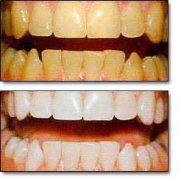
Dişleri 2 Dakikada Beyazlatıyor! Bakın Nasıl Yapıyorlar?

Dişleri 2 Dakikada Beyazlatma Yöntemi 1- Yarım limonun suyunu dörtte biri kabartma tozuyla doldurulmuş bardağa sıkın.Oluşan karışım bir süre kendi kendine kaynayacak, durulmasını bekleyin.. DEVAM ETMEK İÇİN FOTOĞRAFA TIKLAYIN..

Bir pamuk parçasını karışıma daldırın ve dişlerinize sürün. Bir dakika kadar karışım dişlerinizde kalsın.. DEVAM ETMEK İÇİN FOTOĞRAFA TIKLAYIN..

Dişinizi fırçalayarak dişlerinizi karışımdan temizleyin. Karışımı dişlerinizde bırakmamaya özen gösterin, asidik olduğu için dişlerinizi aşındıracaktır.

Bunu dişleriniz beyazlayana kadar haftada bir ya da iki kere tekrarlayın.Son zamanların çılgınlarından biri de aktif karbon ile diş beyazlatma furyası.

New Jersey’li diş hekimi Joseph Banker, aktif karbonun diş beyazlatmada inanılmaz etkili olduğunu belirtiyor. Az miktarda aktif karbon ve suyu karıştırıp dişleri fırçalarsanız beyazlatma etkisini göreceğinizi iddia ediyor.

Tabii ki ağzınızı karbon tamamen gidene kadar durulamak ve asla yutmamak gerekiyor.​

Dişleri 2 Dakikada Beyazlatıyor! Bakın Nasıl Yapıyorlar?

Editör Hakkında