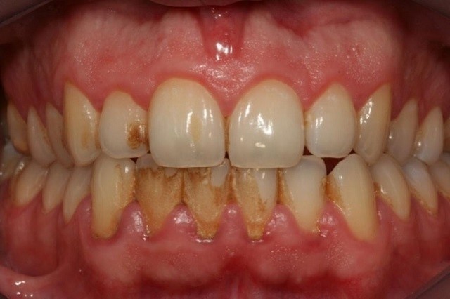
Diş Tartarları Nasıl Temizlenir Deneyince İnanamayacaksınız İşte O Yöntem!

Bikarbonat, tartar tamizlemede çok etkili bir yöntemdir.

Bir tutam tuz ve bir çorba kaşığı bikorbonatı karıştırp dişlerinizi bu karışım ile fırçaladığınızda tartarların yoğun bir şekilde temizlendiğini göreceksiniz.

Yapmanız gereken tek şey diş fırçanızı elma sirkesine batırıp dişlerinizi fırçalamak ve su ile durulamak hepsi bu.

Gerekenler : 4 yemek kaşığı ayçiçeği tohumu, 4 yemek kaşığı ıhlamur çiçeği, 1 lt su

Editör Hakkında