CİNSİYET DEĞİŞTİREN ADAMA BAKIN NE OLDU ?

GALERİ'NİN DEVAMI İÇİN TIKLAYIN..!

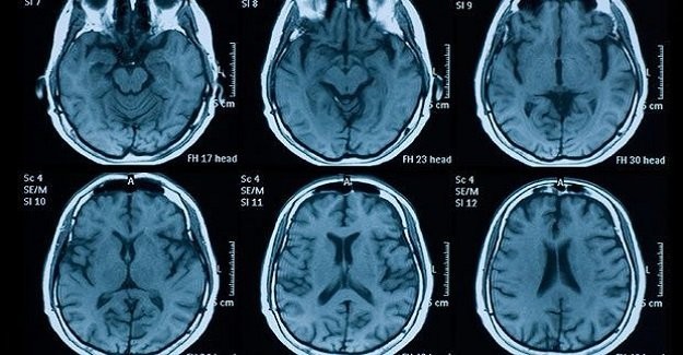
Şok eden haber uzmanlar tarafından açıklandı. 18 yaşındaki genç kız cinsiyet değiştirme ameliyatı ile erkek oldu. Çekilen MR'ı tüm bilim dünyasını şok etti.

Viyana Üniversitesi bilim insanları erkeklik hormonu verdikleri genç kızın beyin MR'ını çekti. Bilim insanları genç kızın, cinsiyet değiştirdikten ve hormon verildikten sonra birden fazla işi aynı anda yapamadığını ve bu kabiliyetlerinin köreldiğini söyledi.

Şok eden haber uzmanlar tarafından açıklandı. 18 yaşındaki genç kız cinsiyet değiştirme ameliyatı ile erkek oldu. Çekilen MR'ı tüm bilim dünyasını şok etti.

Uzmanlar yaptıkları tetkiklerden sonra beyinde dil ve bölgeler arası iletişimi sağlayan alanın zayıfladığı anladılar. Bu durum yıllardır süren 'cinsiyet değiştirmek doğru mu?' sorularına tekrar gündeme taşıdı.

18 yaşındaki transeksüel gence 4 hafta boyunca testosteron hormonu verildi. Bunun sonrasında uzmanlar dil kontrolünü de sağlayan Broca ve Wenicke adındaki iki alanda gri maddenin azaldığını fark etti.

Profesör Rupert Lanzenberger yaşanan bu olayla ilgili, "Testosteron hormonuna maruz kalan ve kalmayan beyin arasında ciddi bir fark görüyoruz. Bunu transeksüel bir bireyi incelemeden anlamamız imkansızdı. Bu sonuçlar cinsiyet hormonlarının önemini anlatıyor." şeklinde konuştu.

Editör Hakkında